슬개골은 강아지의 무릎 앞쪽, 즉 다리 앞면에 위치한 작은 뼈입니다.
사람의 무릎뼈처럼, 뒷다리를 구부리고 펴는 움직임을 안정적으로 도와주는 중요한 역할을 합니다.
하지만 어떤 아이들은 유전적 요인이나 성장 과정, 혹은 사고로 인해 이 슬개골이 제자리에서 벗어나며 무릎이 헛디디거나, 다리를 들고 걷는 모습을 보이게 됩니다.
이것이 바로 슬개골 탈구입니다.
강아지의 활동성과 삶의 질에 큰 영향을 줄 수 있는 문제이지만, 초기에는 증상이 뚜렷하지 않아 보호자도 놓치기 쉬운 질환 중 하나입니다.

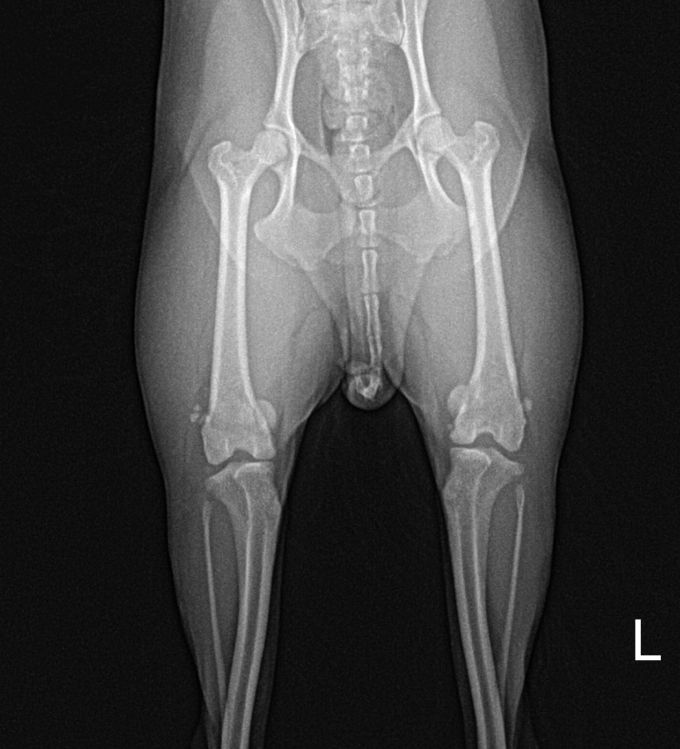
< 무릎관절의 정상적인 상태 >

< 슬개골이 탈구된 상태 >
슬개골 탈구는 정도에 따라 1~4기까지 나뉘며, 기수에 따라 증상과 치료 방향이 달라집니다.
| 기수 | 설명 | 보호자가 볼 수 있는 증상 | 권장되는 케어 방향 |
|---|---|---|---|
| 1기 | 슬개골이 간헐적으로 빠졌다가 스스로 돌아옴 | 거의 증상이 없거나, 가끔 다리 들고 걷는 정도 | 체중 관리, 보조제, 주기적 관찰 |
| 2기 | 슬개골이 자주 빠지고, 외부 자극 없이도 이탈함 | 걷다 말고 다리를 들거나, 뒷다리 절뚝임 | 경우에 따라 수술 고려, 조기 진단 중요 |
| 3기 | 대부분의 시간 슬개골이 빠진 상태로 존재 | 무릎을 완전히 구부리지 못하거나, 꾸준한 절뚝거림 | 수술이 매우 권장되는 단계 |
| 4기 | 항상 탈구된 상태, 자가 복귀 불가 | 뒷다리로 제대로 걷지 못함, 비대칭 체형 | 수술적 치료 필수, 방치 시 관절변형 우려 |
BEFORE
AFTER
BEFORE
AFTER
BEFORE
AFTER
BEFORE
AFTER

수술은 마지막 선택지가 아니라, 아이의 일상과 삶의 질을 지켜주는 기회일 수 있습니다.
모든 아이가 수술이 필요한 건 아니지만, 걷는 즐거움, 함께 뛰는 행복을 되찾기 위해 아이에게 가장 적절한 시기와 방법을 함께 고민해드리는 것이 저희 모모의 역할입니다.
슬개골 탈구는 늦지 않게 발견하고, 아이의 상태에 맞는 적절한 케어를 해주는 것이 무엇보다 중요합니다.
“수술이 꼭 필요합니다.” 가 아닌, “아이의 삶을 얼마나 더 편안하게 만들어줄 수 있을까?” 의 시선으로 설명드리겠습니다.