강아지의 뒷다리 무릎 속에는 뼈와 뼈를 단단히 연결해주는 십자(+) 형태의 인대가 있습니다.
이 인대는 관절이 앞뒤로 흔들리지 않도록 고정해주는 중요한 구조물로, 강아지가 달릴 때, 점프할 때, 급회전을 할 때 무릎을 안정적으로 잡아주는 역할을 합니다.
이 인대 중 하나인 전십자인대가 파열되면, 무릎 관절이 불안정해지고 극심한 통증을 유발하며 정상적인 보행이 어려워집니다.
십자인대 파열은 갑작스러운 사고 또는 반복적인 무릎 스트레스로 인해 발생할 수 있으며, 작은 강아지부터 대형견까지 모두에게 생길 수 있는 질환입니다.

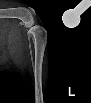
< 정상적인 십자인대 >

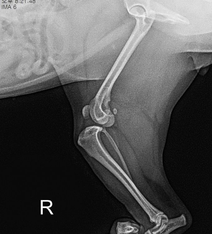
< 손상된 십자인대 >
이 질환은 방치 시 관절염, 반대쪽 인대 손상, 고관절 이상 등 2차 문제로 확대되기 쉬워 적절한 시기에 진단과 치료 방향을 설정하는 것이 무엇보다 중요합니다.
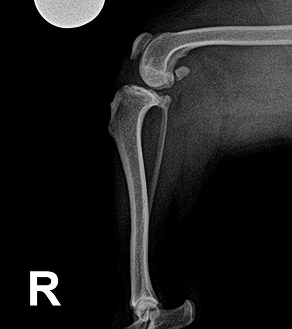
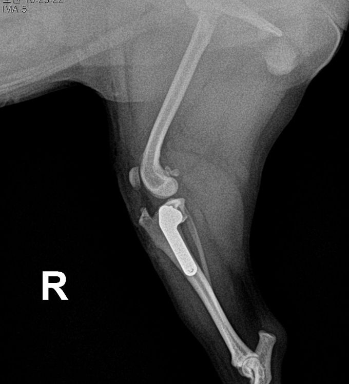
BEFORE
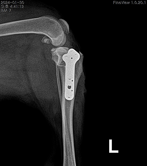
AFTER
BEFORE
AFTER
BEFORE
AFTER

십자인대 파열의 경우, 부분 파열일 경우에는 안정적 관리와 운동 제한으로 회복을 도모할 수 있으나,
완전 파열이 확인된 경우에는 수술이 가장 효과적이고 근본적인 치료 방법입니다. 하지만 저희는 단순히 "무조건 수술"을 권하지 않습니다.
우리 아이가 앞으로 더 오래, 더 건강하게 걷고 뛰는 삶을 살 수 있도록 가장 적절한 치료 시점과 방법을 함께 고민하고 제안해드립니다.
수술은 단지 고통을 없애는 것이 아니라, 반려동물의 일상과 자존감을 회복시키는 과정입니다.