치아흡수성병변(FORL)은 치아가 안쪽에서부터 녹아 내리는 질환입니다. 치아의 뿌리(치근)나 치아의 머리(치관)의 정상적인 조직이 서서히 파괴되면서 염증성 조직으로 자리잡게 됩니다. 심한 경우에는 치아가 부서지거나, 피가 나고, 얼굴이나 치아를 만지는 것을 싫어합니다. 또한 통증으로 특히 건사료를 먹을 때 많이 불편해 하는 질환입니다. 특히 이 질환은 초기엔 겉으로 잘 보이지 않고, 잇몸 위로는 멀쩡해 보여도 치아 내부에서 이미 진행되고 있는 경우가 많습니다. 눈에 띄기 어렵지만 통증은 크고, 치료가 늦어질수록 심한 치통과 스트레스, 삶의 질 저하로 이어질 수 있습니다.

< 치아 단면구조 >
치주염은 진행 정도에 따라 1~4기로 분류되며, 기수에 따라 관리 방법과 치료 방향이 달라집니다.
진행될수록 통증 뿐만 아니라 전신 건강에도 영향을 줄 수 있으므로, 조기 발견과 관리가 가장 중요합니다.
| 단계 | 진행 상태 | 보호자가 관찰할 수 있는 변화 |
|---|---|---|
| 1기 | 법랑질 표면에 작은 손상 | 특별한 증상 없음, 정기 검진 시 발견 가능 |
| 2기 | 상아질까지 흡수 진행 | 입 주변 만지면 불편해함 |
| 3기 | 치수(신경)까지 도달 | 사료 거부, 통증, 한쪽으로만 씹음 |
| 4기 | 치아 대부분 흡수 | 치아 부서짐, 피 섞인 침, 침 흘림 |
| 5기 | 치관은 사라지고 뿌리만 남음 | 뿌리 부위 통증, 염증, 잇몸 부음 |







이 질환은 자연 회복이 불가능한 질환이며, 진행된 병변에 대해서는 발치가 가장 효과적인 치료법입니다.
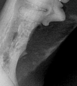
덴탈 X-ray를 통해 치아 내부 상태를 정확히 파악한 후, 아이에게 불필요한 고통 없이 최선의 결정을 내릴 수 있도록 안내합니다.
치아흡수성병변은 치아 1개만이 아니라 여러 개가 함께 발병하는 경우도 많기 때문에, 정확한 진단과 함께 장기적인 구강 건강 계획이 중요합니다.
BEFORE
AFTER
BEFORE
AFTER
BEFORE
AFTER
BEFORE
AFTER
아닙니다.
치아흡수성병변은 고양이에게 가장 흔히 나타나는 질환이지만, 강아지에게도 발생할 수 있는 질환입니다.
다만 고양이의 경우
발견이 늦어지는 경우가 많아, 더 자주 보고되는 것입니다.
따라서 강아지, 고양이 모두 정기적인 구강 검진을 받는 것이 중요하며, 입 냄새, 식욕 저하, 한쪽으로만 씹는 습관이 보이면 즉시 체크가 필요합니다.