치주염은 반려동물의 잇몸과 치아 주변 조직이 염증으로 손상되는 질환입니다.
입 속 세균이 치석으로 굳어지면서 염증을 일으키고, 시간이 지날수록
특히 강아지와 고양이 모두 3세 이상 반려동물의 80% 이상이 치주염을 겪고 있다는 보고가 있을 만큼 매우 흔하지만,
눈에 띄지 않게 진행되어 보호자가 늦게 알아차리기 쉬운 질환입니다.

< 치아 단면구조 >
치주염은 진행 정도에 따라 1~4기로 분류되며, 기수에 따라 관리 방법과 치료 방향이 달라집니다.
진행될수록 통증 뿐만 아니라 전신 건강에도 영향을 줄 수 있으므로, 조기 발견과 관리가 가장 중요합니다.
| 기수 | 설명 | 보호자가 볼 수 있는 증상 |
|---|---|---|
| 1기 (경도) | 잇몸 가장자리에 염증 발생 | 입 냄새 시작, 이빨 누르면 잇몸 붉어짐 |
| 2기 (중등도) | 염증이 치아 주변까지 확산 | 냄새 심해짐, 딱딱한 사료 꺼림 |
| 3기 (중증) | 치아 지지 조직 파괴 시작 | 이빨 흔들림, 침 흘림 |
| 4기 (중증 이상) | 치아 탈락, 고름, 턱뼈 침범 가능성 | 심한 통증, 입 주변 부음, 만성 염증 |




모모동물의료센터는 치아 상태를 정밀하게 파악한 후, 아이에게 가장 적절하고 안전한 치료 방향을 제시합니다.
치주염 치료는 진행 단계에 따라 다르게 접근합니다.
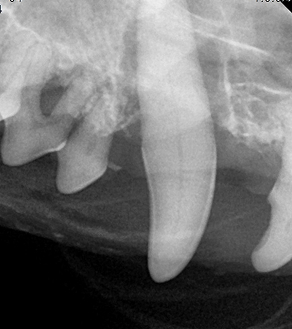
BEFORE
AFTER
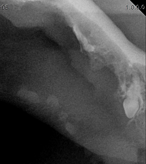
BEFORE
AFTER
BEFORE
AFTER
BEFORE
AFTER
“입 냄새가 시작되면, 치주염도 시작됩니다.”
치아는 관리의 대상이지, 소모품이 아닙니다.
치주염은 충분히 예방 가능한 질환입니다.
무엇보다 중요한 건 꾸준한 관리와 조기 진단입니다.
이렇게 관리해 주세요.
조기에만 발견하면, 아이도 아프지 않고 보호자도 마음 아프지 않은 선택을 할 수 있습니다.