정형센터

골절치료

우리 아이가 다시 걸을 수 있도록,
보호자님의 선택은 중요합니다.

골절치료

골절은 반려동물의 삶을 위협할 수 있는 심각한 외상입니다.
다양한 골절 케이스를 직접 수술하고 치료해온 경험으로, 정확한 진단과 정교한 수술을 약속 드립니다.

사례

수술케이스 ① 몽*강아지 - 중수골 다발골절

수술케이스 1 before BEFORE
수술케이스 1 after AFTER

수술케이스 ② 보*강아지 - 요척골 단순골절

수술케이스 2 before BEFORE
수술케이스 2 after AFTER

수술케이스 ③ 배*강아지 - 대퇴골 분쇄골절

수술케이스 3 before BEFORE
수술케이스 3 after AFTER

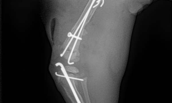
수술케이스 ④ 블*강아지 - 경골 복합골절

수술케이스 4 before BEFORE
수술케이스 4 after AFTER

수술케이스 ⑤ 모*강아지 - 대퇴골, 경골 다발 복합골절

수술케이스 5 before BEFORE
수술케이스 5 after AFTER
케이스 더 보러가기자세히보기